Phổi đông đặc do nấm lao

TP HCM - Anh Tuân, 50 tuổi, thở khò khè, ho hai tháng, nhập viện phát hiện nấm ăn vào phế quản tạo ổ mủ làm đông đặc phổi.


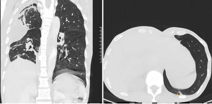
Kết quả chụp CT tại Bệnh viện Đa khoa Tâm Anh TP HCM cho thấy ổ mủ 4 cm chèn ép làm xẹp phổi bệnh nhân gây suy hô hấp cấp tính. Mủ tích tụ tạo ra ổ nhiễm khuẩn khiến người bệnh khó thở, ho ra máu.


PGS.TS.BS Vũ Hữu Vĩnh, Giám đốc Trung tâm Ngoại Lồng ngực - Mạch máu, chẩn đoán anh Tuân bị nấm phổi và lao phổi, là nguyên nhân chính dẫn đến suy hô hấp. Phổi tổn thương sẽ để lại sẹo, một bào tử nấm Aspergillus nhỏ cũng có thể ký sinh tạo hang, hình thành khối u nấm, ổ áp xe tàn phá lá phổi.


Ổ áp xe kích thước lớn và dịch mủ tràn kín phổi người bệnh làm mất chức năng trao đổi oxy, khiến ca mổ khó khăn ngay từ lúc gây mê, theo bác sĩ Vinh. Êkíp phải thực hiện phương pháp gây mê thông khí chọn lọc một phổi để ngăn mủ và máu bên lá phổi thương tổn tràn sang phổi lành, giúp cung cấp đủ oxy đảm bảo các chỉ số sinh hiệu được ổn định.


Êkíp mổ ghi nhận toàn bộ phổi phải người bệnh đã bị mủ tàn phá gây đông đặc, mùi hôi nặng từ ổ vi khuẩn kỵ khí lâu ngày. Khối u nấm xâm lấn trực tiếp vào các động mạch và mạch máu lớn, khiến chúng dính chặt vào nhau, gây khó khăn cho việc bóc tách. Sau hơn 4 giờ, êkíp hút gần một lít dịch mủ ra khỏi phổi anh Tuân, rửa sạch lồng ngực, cắt bỏ phần phổi hoại tử, bảo tồn tối đa nhu mô phổi lành và tạo hình phế quản để phục hồi lưu thông không khí.


Hậu phẫu, sức khỏe anh Tuân tiến triển tốt, sau 3 ngày anh có thể ngồi dậy, tập cử động nhẹ nhàng, không còn đau và ho khan, ống mở khí quản được lấy bỏ sau mổ 10 ngày.


Bệnh nấm phổi thường gặp ở người suy giảm miễn dịch, già yếu, mắc bệnh mạn tính lâu ngày như lao phổi, phẫu thuật phổi, bệnh nhân ung thư phổi đã và đang điều trị... Nấm phổi khó phát hiện sớm do triệu chứng không rõ ràng ở giai đoạn sớm (ho, sốt, khó thở...), dễ nhầm lẫn với các bệnh hô hấp thông thường.


Phó giáo sư Vĩnh khuyến cáo người thuộc nhóm nguy cơ cao như tiếp xúc gần với người bệnh lao, người nhiễm HIV, người cao tuổi, cần chủ động tầm soát bệnh phổi định kỳ. Khi xuất hiện các triệu chứng ho kéo dài trên hai tuần, sốt nhẹ về chiều, sụt cân... nên khám chuyên khoa, không tự điều trị tại nhà phòng biến chứng nguy hiểm.


Bảo Anh


*Tên người bệnh đã được thay đổi


Độc giả gửi câu hỏi về bệnh hô hấp tại đây để bác sĩ giải đáp







Phoi dong dac do nam lao


TP HCM - Anh Tuan, 50 tuoi, tho kho khe, ho hai thang, nhap vien phat hien nam an vao phe quan tao o mu lam dong dac phoi.

Phổi đông đặc do nấm lao

TP HCM - Anh Tuân, 50 tuổi, thở khò khè, ho hai tháng, nhập viện phát hiện nấm ăn vào phế quản tạo ổ mủ làm đông đặc phổi.
Giới thiệu cho bạn bè
  • gplus
  • pinterest

Các bài liên quan

Bình luận

Đăng bình luận

Đánh giá