Nút mạch triệt căn hai u gan ác tính

Hà Nội - Ông Phong, 70 tuổi, tầm soát ung thư phát hiện hai khối u gan, được bác sĩ nút mạch triệt căn ung thư.


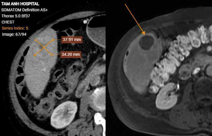
Ông Phong không có triệu chứng bất thường, siêu âm tầm soát ung thư gan do hút thuốc hơn 30 năm, tiền sử xơ gan, viêm gan siêu vi B, kết quả có khối giảm âm trong gan. Xét nghiệm máu ghi nhận mức AFP (chỉ điểm ung thư gan) trên 1440 ng/ml, gấp hơn 200 lần ngưỡng bình thường. Ảnh chụp CT phát hiện hai khối u gan kích thước 15x20 mm và 37x34 mm, bệnh nhân còn bị lóc tách động mạch chủ ngực, xơ vữa, phình, giãn một số động mạch chủ khác và hẹp 56% gốc động mạch thân tạng.


TS.BS Trần Hải Bình, Phó trưởng khoa Ung bướu, Bệnh viện Đa khoa Tâm Anh Hà Nội, chẩn đoán ông Phong ung thư gan giai đoạn hai, chưa di căn. Bác sĩ chỉ định nút mạch hóa chất động mạch gan siêu chọn lọc (Superselective TACE).


PGS.TS.BS Nguyễn Xuân Hiền, Giám đốc Trung tâm Chẩn đoán hình ảnh và Điện Quang can thiệp, cho biết nút động mạch gan siêu chọn lọc là phương pháp điều trị xâm lấn tối thiểu, an toàn, hiệu quả với u gan ác tính. Mục đích đưa hạt tải thuốc vào chặn động mạch gần khối u nhất, cắt nguồn máu mang oxy và dinh dưỡng nuôi tế bào ung thư, đồng thời giải phóng thuốc hóa trị liều cao để tiêu diệt khối u mà không làm lắng đọng thuốc ra ngoài.


Thuốc đi trực tiếp vào khối u, không gây tác dụng phụ nghiêm trọng như hóa trị toàn thân. Một số bệnh nhân nút mạch xong đạt được đáp ứng hoàn toàn và không cần phẫu thuật. Phương pháp nút mạch có thể được chỉ định với một số trường hợp ung thư gan đa ổ, bệnh nhân lớn tuổi, có bệnh nền, không còn chỉ định phẫu thuật.


Sau khi gây tê cho ông Phong ở vùng bẹn phải, êkíp mở lỗ nhỏ, luồn ống catheter vào động mạch đùi, lên động mạch chủ bụng rồi vào động mạch gan dưới công nghệ chụp mạch máu số hóa xóa nền (DSA) của hệ thống robot Artis Pheno. PGS Hiền bơm hạt tải thuốc, kiểm tra thấy dòng máu vào u giảm mạnh, rút ống catheter cầm máu cho ông Phong, kết thúc thủ thuật trong một tiếng.


Ông Phong được nút mạch khối u ở hạ phân thùy VI trước, một tháng sau nút mạch khối u ở hạ phân thùy VIII để đánh giá đáp ứng và hạn chế tác dụng phụ. Sau cả hai lần, người bệnh không đau, không mệt, các chỉ số gan ổn định.


Tái khám sau ba tháng, kết quả chụp MRI ghi nhận hai khối u gan bệnh nhân giảm đáng kể kích thước, không còn ngấm thuốc, các tế bào ung thư đã hoại tử. Ông Phong có sức khỏe tổng thể tốt, tăng cân, chỉ số AFP giảm về ngưỡng bình thường 6,5 ng/ml, đáp ứng hoàn toàn với điều trị, theo bác sĩ Hiền.


Theo Globocan năm 2022, ung thư gan là một trong những bệnh ung thư gây tử vong hàng đầu tại Việt Nam, với hơn 24.500 bệnh nhân mắc mới và hơn 23.300 ca tử vong.


Ung thư gan diễn biến âm thầm, giai đoạn sớm không có triệu chứng. Bệnh nhân có các biểu hiện như vàng da, đau bụng, chức năng gan suy giảm đi khám thì ung thư gan đã ở giai đoạn muộn. Lúc này điều trị rất khó khăn, tiên lượng xấu và chỉ còn mang tính chất kéo dài sự sống cho người bệnh, trung bình khoảng 3-6 tháng.


Bác sĩ khuyến cáo người khỏe mạnh nên khám sức khỏe định kỳ hàng năm. Người có yếu tố nguy cơ ung thư gan cao như nhiễm virus viêm gan B, xơ gan, uống nhiều rượu, hút thuốc lá nên siêu âm gan và xét nghiệm chỉ điểm theo chỉ định của bác sĩ. Khi phát hiện sớm, bệnh có thể được điều trị hiệu quả bằng các biện pháp ít xâm lấn như nút mạch, đốt sóng cao tần. Có người bệnh ung thư gan vẫn sống trên 15 năm sau nút mạch.


Thanh Long


*Tên bệnh nhân đã được thay đổi


20h ngày 12/12, Bệnh viện Đa khoa Tâm Anh tổ chức tư vấn trực tuyến: "Ứng dụng công nghệ cao - Tầm soát sức khỏe toàn diện, phát hiện sớm ung thư - an toàn - nhanh chóng - hiệu quả" phát trên fanpage VnExpress.


Các bác sĩ tham gia tư vấn gồm PGS.TS.BS Nguyễn Xuân Hiền, Giám đốc Trung tâm Chẩn đoán hình ảnh và Điện quang can thiệp; TS.BS Lê Bá Ngọc, Trưởng khoa Nội Tổng hợp; TS.BS Trần Hải Bình, Phó trưởng khoa Ung bướu. Độc giả có thể gửi câu hỏi tại đây.









Nut mach triet can hai u gan ac tinh


Ha Noi - Ong Phong, 70 tuoi, tam soat ung thu phat hien hai khoi u gan, duoc bac si nut mach triet can ung thu.

Nút mạch triệt căn hai u gan ác tính

Hà Nội - Ông Phong, 70 tuổi, tầm soát ung thư phát hiện hai khối u gan, được bác sĩ nút mạch triệt căn ung thư.
Giới thiệu cho bạn bè
  • gplus
  • pinterest

Các bài liên quan

Bình luận

Đăng bình luận

Đánh giá